
Genetics plays a significant role in your pet's health, and one disorder that afflicts certain dog breeds with reversible but predictable pains is hip dysplasia. Hip dysplasia is one of the most common skeletal diseases seen in dogs today, and it affects both genders of many dog breeds. The good news is that there is much that can be done to accommodate animals with this condition.
What is Hip Dysplasia?
Hip dysplasia is an inherited condition associated with the hip joint that can lead to the development of arthritis. Hip dysplasia is a genetically inherited condition that appears to affect a variety of breeds, including French Bulldogs, Mastiffs, and Pugs. The pain associated with hip dysplasia can vary in severity from mild discomfort to debilitating pain.
In addition to genetics, weight and diet play an important role in the development of this condition. Proper weight is essential for preventing joint related issues related to hip dysplasia. Nutrition then plays two important parts in preventing the development of this condition, as it is essential both for controlling your dog’s weight and ensuring that your dog receives adequate nutrition to support healthy joints.
Dogs that develop hip dysplasia can begin to develop the condition as puppies as young as five months of age but more often develop it after a few years or in their old age; however, once a dog develops hip dysplasia, she then becomes prone to other joint-related injuries or conditions, such as arthritis.1
Hip Dysplasia Symptoms
The symptoms of hip dysplasia can become evident even in younger dogs less than a year old. More commonly, symptoms are progressive and onset is in middle age to older dogs. Some of the symptoms include:
- Stiffness or pain when getting up after a period of rest
- Unusual stance or walking in an abnormal manner (i.e. “bunny hopping”)
- Avoiding stair-climbing or jumping
- Decreased activity
- Grating detected with joint movement
- Loss of muscle mass in thigh muscles
- Larger shoulder muscles (due to weight shift when walking off of rear joints
Diagnosis
If you suspect that your dog has hip dysplasia, the first step is a visit to the veterinarian. The veterinarian will begin with a standard physical exam which might include urinalysis, a blood chemical profile, an electrolyte panel, and a blood count. He may also look over your dog’s medical records and their family history to determine if your dog is genetically prone to developing this disease.
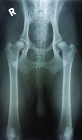
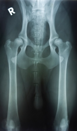
Depending on these results, your veterinarain may suggest further diagnostic procedures such as X-rays, which would help confirm their analysis with an image of the joint in question. An abnormal contour or appearance associated with the hip joint would support the diagnosis of hip dysplasia.2
Treatment
Current treatments for hip dysplasia vary from medical treatment with drugs to extensive surgical procedures such as triple pelvic osteotomy (TPO), femoral head ostectomy (FHO) and total hip replacement. TPO is a common procedure for younger dogs that have been diagnosed with hip dysplasia.

TPO reconstructs the pelvis by creating three cuts in the bone to allow a rotation of the femoral head and to push it deeper into the socket. Placing the bone deeper into the socket allows it to act as a normal pelvis after healing. Before the surgery, the dog must be shaven and have the affected area cleaned to prevent infection. The surgery often requires anesthetics to put the dog under during surgery.3
FHO is a similar procedure to TPO but instead of resetting the head, it is removed completely. Thus, FHO is a bit less effective seeing as the joint never fully heals but rather is replaced by a pseudo-joint in which there is no bone-to-bone contact. This prevents the animal from suffering from the pain of two bones grating but requires that they maintain a low weight for the rest of their lives.4
Total hip replacement entails removing parts of your dog’s bone and replacing it with prosthetics made with metal alloy and medical bone cement. Though this is a procedure that is effective on more than 95% of patients, there are some restrictions on which dogs are able to undergo the procedure. For instance, it can only be performed on dogs that have no additional joint problems or nerve diseases. Patients must be above nine months of age and have an appropriate medical history. You veterinarian will determine if this or one of the other two options is the right choice for your dog.5
Dogs experiencing pain and inflammation caused by hip dysplasia may also be prescribed medication to reduce inflammation. Popular medications prescribed to dysplastic dogs include NSAIDs like carprofen, which inhibits one of the enzymes responsible for inducing the inflammatory response. Another solution your vet may prescribe is Adequan for Dogs, which facilitates the production of cartilage and synovial fluid to promote the natural repair of joints.
Prevention
As previously stated, the prevention of hip dysplasia rests largely on the diet and exercise habits of your canine. A healthy dog needs to maintain a certain weight to prevent added stress on deteriorating joints. Low-impact exercise may also prove beneficial in protecting joints from damage. This may entail walking and swimming with your pet as opposed to running and jumping.
Lastly, it is recommended that owners purchase their dogs from certified breeders that have only bred animals with a healthy lineage. This may entail tracking lineage back to three or four generations to ensure that risk for the development of this condition is minimal. You can also determine which breeds are prone to the condition with this table of the top 50 dog breeds prone to hip dysplasia.6
| Breed | Rank | Evaluations | Excellent (%) | Dysplastic (%) |
|---|---|---|---|---|
| BULLDOG | 1 | 636 | 0.3 | 72 |
| PUG | 2 | 565 | 0 | 68.7 |
| DOGUE DE BORDEAUX | 3 | 499 | 1 | 56.7 |
| OTTERHOUND | 4 | 425 | 0.7 | 49.6 |
| NEAPOLITAN MASTIFF | 5 | 162 | 2.5 | 47.5 |
| ST. BERNARD | 6 | 2184 | 4.4 | 46.7 |
| BOERBOEL | 7 | 166 | 7.8 | 45.2 |
| CLUMBER SPANIEL | 8 | 965 | 3.1 | 43.1 |
| BLACK RUSSIAN TERRIER | 9 | 623 | 3.4 | 43 |
| SUSSEX SPANIEL | 10 | 285 | 1.8 | 40.4 |
| CANE CORSO | 11 | 1007 | 7.1 | 38.3 |
| BASSET HOUND | 12 | 207 | 0 | 37.2 |
| ARGENTINE DOGO | 13 | 221 | 3.2 | 37.1 |
| PERRO DE PRESA CANARIO | 14 | 205 | 4.9 | 34.6 |
| NORFOLK TERRIER | 15 | 315 | 0 | 33.7 |
| AMERICAN BULLDOG | 16 | 1863 | 4.9 | 32.9 |
| BOYKIN SPANIEL | 17 | 3466 | 2.7 | 31.5 |
| FILA BRASILEIRO | 18 | 600 | 7.5 | 30 |
| GLEN OF IMAAL TERRIER | 19 | 190 | 1.1 | 29.5 |
| LAGOTTO ROMAGNOLO | 20 | 201 | 7 | 28.9 |
| FRENCH BULLDOG | 21 | 1316 | 2.2 | 28.6 |
| SPANISH WATER DOG | 22 | 136 | 5.9 | 27.9 |
| AMERICAN STAFFORDSHIRE TERRIER | 23 | 3120 | 2.5 | 25.9 |
| BLOODHOUND | 24 | 2941 | 2.8 | 25.4 |
| NEWFOUNDLAND | 25 | 15853 | 8.7 | 25 |
| MAINE COON CAT | 26 | 1142 | 4.3 | 24.4 |
| AMERICAN PIT BULL TERRIER | 27 | 806 | 6 | 24.1 |
| BULLMASTIFF | 28 | 5803 | 3.9 | 24 |
| LOUISIANA CATAHOULA LEOPARD | 29 | 604 | 11.8 | 21.2 |
| ENGLISH SHEPHERD | 30 | 413 | 10.7 | 21.1 |
| BERGER PICARD | 31 | 149 | 6 | 20.8 |
| CARDIGAN WELSH CORGI | 32 | 2165 | 3.1 | 20.8 |
| ROTTWEILER | 33 | 95279 | 8.4 | 20.2 |
| CHESAPEAKE BAY RETRIEVER | 34 | 13230 | 12.8 | 20 |
| SHIH TZU | 35 | 641 | 1.9 | 19.7 |
| GOLDEN RETRIEVER | 36 | 139411 | 4.4 | 19.4 |
| MASTIFF | 37 | 11290 | 7.9 | 19.3 |
| NORWEGIAN ELKHOUND | 38 | 3940 | 7.5 | 19.3 |
| CHOW CHOW | 39 | 5439 | 7.5 | 19.1 |
| GERMAN SHEPHERD DOG | 40 | 110075 | 4.1 | 19 |
| GORDON SETTER | 41 | 6266 | 9.1 | 18.8 |
| PEMBROKE WELSH CORGI | 42 | 11656 | 3.1 | 18.8 |
| OLD ENGLISH SHEEPDOG | 43 | 10932 | 11.9 | 18.2 |
| HYBRID | 44 | 1779 | 9.3 | 17.9 |
| FIELD SPANIEL | 45 | 1105 | 9.2 | 17.9 |
| EPAGNEUL BRETON | 46 | 175 | 4.6 | 17.7 |
| ICELANDIC SHEEPDOG | 47 | 356 | 11.2 | 17.7 |
| KUVASZ | 48 | 1799 | 14.8 | 17.7 |
| BEAGLE | 49 | 954 | 2.6 | 17.7 |
| GREATER SWISS MOUNTAIN DOG | 50 | 2932 | 14.3 | 17.7 |
We hope that this guide has provided a valuable resource for those hoping to treat or prevent hip dysplasia from afflicting their pets.
Sources
1 ASPCA “Hip Dysplasia” Pet Care. 2013.
2 PetMD “Hip Dysplasia in Dogs” Dog Conditions Retrieved Oct. 2013.
3Dr. Hayes, N. J. Triple Pelvic Osteotomy (TPO)” Whitney Veterinary Hospital “. 2005.
4 Berzon JL, Howard PE, Covell SJ (1980). "A retrospective study of the efficacy of femoral head and neck excisions in 94 dogs and cats". Vet Surg 9 (3): 88–92
5“FAQ: Total Hip Replacement” The Ohio State University Veterinary Medical Center. Small Animal Surgery Services.
6 “Hip Dysplasia Statistics” Orthopedic Foundation for Animals. Retrieved May 18, 2015.
